Cơn ho ngứa cổ không chỉ gây đau rát, khó chịu trong giao tiếp mà còn làm gián đoạn giấc ngủ, khiến cơ thể mệt mỏi kéo dài. Thực tế, ho ngứa cổ có thể là triệu chứng của viêm họng, dị ứng thời tiết, hoặc đôi khi là dấu hiệu của bệnh trào ngược dạ dày thực quản. Để giải quyết triệt để tình trạng này, bạn cần kết hợp giữa các mẹo giảm đau tức thì và các biện pháp điều trị tận gốc. Bài viết này sẽ hướng dẫn bạn 15 cách hết ho ngứa cổ hiệu quả nhất để nhanh chóng khôi phục vòm họng khỏe mạnh.
1. Nguyên nhân gây ho ngứa cổ thường gặp nhất
Việc xác định đúng nguyên nhân là bước đầu tiên để tìm ra cách hết ho ngứa cổ phù hợp nhất cho từng đối tượng.
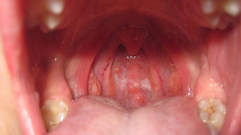
- Viêm họng cấp và mãn tính: Đây là nguyên nhân phổ biến nhất khiến niêm mạc họng bị sưng tấy, kích ứng dẫn đến cảm giác ngứa ngáy và gây ho khan.
- Dị ứng: Các tác nhân như bụi mịn, phấn hoa, lông thú cưng hoặc mùi hóa chất mạnh có thể kích thích các thụ thể gây ngứa trong cổ họng.
- Mất nước và không khí khô: Khi niêm mạc họng bị khô do thiếu độ ẩm, các dây thần kinh tại đây trở nên nhạy cảm hơn, dễ gây ra các cơn ho kịch phát.
- Trào ngược dạ dày thực quản (GERD): Axit từ dạ dày trào ngược lên thực quản có thể gây bỏng nhẹ và kích ứng vùng họng, tạo ra cảm giác ngứa cổ dai dẳng.
- Chảy dịch mũi sau: Khi bạn bị viêm xoang hoặc cảm lạnh, dịch nhầy từ mũi chảy xuống họng gây ngứa và buộc cơ thể phải ho để tống xuất chúng ra ngoài.
Niêm mạc họng bị viêm là tác nhân trực tiếp gây ho ngứa cổ.
2. Cách hết ho ngứa cổ nhanh nhất bằng các mẹo tại nhà
Nếu tình trạng ho ngứa cổ mới xuất hiện ở mức độ nhẹ, bạn có thể áp dụng ngay các mẹo dân gian vô cùng hiệu quả sau đây.
2.1. Súc miệng bằng nước muối sinh lý
Nước muối có tính sát khuẩn cao, giúp tiêu diệt vi khuẩn và giảm sưng viêm niêm mạc họng một cách nhanh chóng.
Cách làm: Pha 1/2 muỗng cà phê muối vào cốc nước ấm khoảng 200ml. Súc miệng và khò cổ họng trong khoảng 30 giây, thực hiện 3-4 lần mỗi ngày.
2.2. Uống nước mật ong ấm
Mật ong được ví như một loại “kháng sinh tự nhiên” có khả năng làm dịu niêm mạc bị tổn thương và ức chế cơn ho hiệu quả.
Cách làm: Pha 2 muỗng mật ong nguyên chất vào một ly nước ấm, có thể thêm một vài lát gừng để tăng hiệu quả giữ ấm và kháng viêm.
2.3. Ngậm gừng tươi và muối
Gừng có tính ấm, chứa hoạt chất Gingerol giúp kháng khuẩn và giảm cảm giác ngứa rát cổ họng ngay lập tức.
Cách làm: Rửa sạch một lát gừng mỏng, chấm vào chút muối rồi ngậm trong miệng. Từ từ nuốt phần nước cốt gừng để làm dịu vùng họng.
2.4. Sử dụng quả quất (tắc) chưng đường phèn
Đây là bài thuốc kinh điển giúp long đờm và giảm ngứa cổ rất tốt cho cả người lớn và trẻ em.
Cách làm: Cắt đôi 3-4 quả quất, trộn cùng đường phèn rồi đem hấp cách thủy khoảng 15 phút. Uống nước cốt và ngậm bã quả quất mỗi ngày 2 lần.
2.5. Uống trà cam thảo
Cam thảo có tác dụng làm giảm kích ứng màng nhầy và tiêu viêm nhanh chóng.
Cách làm: Dùng vài lát cam thảo khô hãm với nước sôi trong 10 phút rồi uống từng ngụm nhỏ khi còn ấm.
Trà gừng mật ong là giải pháp làm dịu cổ họng tức thì.
3. Thay đổi thói quen sinh hoạt để phòng ngừa ho ngứa cổ
Khi áp dụng các cách hết ho ngứa cổ, bạn không nên bỏ qua việc điều chỉnh lối sống để ngăn ngừa tình trạng này tái phát.
- Cấp nước đầy đủ: Uống ít nhất 2 lít nước mỗi ngày để giữ cho niêm mạc họng luôn ẩm, ngăn ngừa tình trạng khô rát gây ho.
- Sử dụng máy tạo độ ẩm: Nếu bạn thường xuyên làm việc hoặc ngủ trong phòng điều hòa, một chiếc máy tạo độ ẩm sẽ giúp bảo vệ hệ hô hấp khỏi không khí khô.
- Vệ sinh không gian sống: Thường xuyên hút bụi, giặt chăn màn để loại bỏ các tác nhân gây dị ứng như mạt bụi và nấm mốc.
- Hạn chế chất kích thích: Tuyệt đối tránh xa khói thuốc lá, rượu bia và các món ăn quá cay nóng vì chúng làm tổn thương niêm mạc họng trầm trọng hơn.
- Giữ ấm vùng cổ: Khi thời tiết chuyển lạnh, hãy luôn quàng khăn hoặc mặc áo cao cổ để bảo vệ hệ hô hấp trên.
Duy trì độ ẩm không khí giúp niêm mạc họng không bị khô.
4. Cách hết ho ngứa cổ bằng các loại thuốc không kê đơn
Trong trường hợp các mẹo tự nhiên không đủ mạnh để cắt cơn ho, bạn có thể cân nhắc sử dụng một số loại thuốc hỗ trợ.
- Viên ngậm đau họng: Các loại viên ngậm chứa tinh dầu bạc hà (Menthol) hoặc Benzocaine giúp gây tê nhẹ vùng họng, làm giảm cảm giác ngứa rát ngay lập tức.
- Siro ho thảo dược: Các sản phẩm chiết xuất từ lá thường xuân, húng chanh giúp long đờm và làm dịu cơn ho kịch phát.
- Thuốc kháng Histamine: Nếu ho ngứa cổ do dị ứng thời tiết hoặc phấn hoa, bác sĩ có thể chỉ định thuốc kháng Histamine để giảm phản ứng của cơ thể.
- Thuốc giảm tiết axit: Nếu nguyên nhân là do trào ngược dạ dày, bạn cần dùng thuốc kháng axit hoặc ức chế bơm Proton để bảo vệ cổ họng.
Viên ngậm giúp giảm cảm giác ngứa cổ rát họng nhanh chóng.
5. Các bài tập hỗ trợ giảm ho và ngứa cổ
Ít người biết rằng một số bài tập thở và vận động vùng cổ có thể hỗ trợ rất tốt trong việc điều trị triệu chứng hô hấp.
- Kỹ thuật thở bụng: Hít sâu bằng mũi sao cho bụng phình ra, sau đó thở ra chậm rãi bằng miệng. Điều này giúp thư giãn các cơ vùng cổ và giảm kích ứng dây thanh quản.
- Bài tập đẩy đờm: Nếu ho có đờm gây ngứa, hãy hít một hơi thật sâu rồi thở mạnh (khạc nhẹ) để đẩy dịch nhầy lên phía trên mà không làm tổn thương niêm mạc.
- Xoa bóp vùng cổ và ngực: Sử dụng tinh dầu ấm xoa nhẹ vùng cổ và ngực trước khi đi ngủ giúp làm giãn mạch máu, tăng cường lưu thông máu và giảm ho về đêm.
6. Khi nào ho ngứa cổ trở nên nguy hiểm và cần gặp bác sĩ?
Mặc dù có nhiều cách hết ho ngứa cổ tại nhà, bạn tuyệt đối không được chủ quan nếu xuất hiện các triệu chứng sau:
- Cơn ho kéo dài liên tục trên 3 tuần mà không có dấu hiệu thuyên giảm.
- Ho kèm theo sốt cao trên 38.5 độ C, rét run hoặc đổ mồ hôi trộm về đêm.
- Có hiện tượng khó thở, thở khò khè hoặc đau tức ngực khi ho.
- Ho ra máu hoặc dịch đờm có màu xanh, vàng đậm và mùi hôi khó chịu.
- Khàn tiếng kéo dài hoặc cảm thấy có khối u vướng trong cổ họng khi nuốt.
Thăm khám y khoa giúp xác định chính xác nguyên nhân gây ho.
7. Chế độ dinh dưỡng cho người đang bị ho ngứa cổ
Ăn gì và kiêng gì đóng vai trò quan trọng trong việc đẩy nhanh tốc độ phục hồi của niêm mạc họng.
Thực phẩm nên ăn:
- Các loại súp, cháo ấm để dễ nuốt và cung cấp năng lượng.
- Trái cây giàu Vitamin C như cam, bưởi, quýt để tăng cường sức đề kháng.
- Rau xanh giàu kẽm như súp lơ, rau bina giúp hỗ trợ hệ miễn dịch.
Thực phẩm cần tránh:
- Đồ ăn khô, cứng như bánh mỳ giòn, các loại hạt vì dễ làm xước cổ họng.
- Đồ uống lạnh, đá viên vì khiến niêm mạc họng co lại và dễ kích ứng hơn.
- Thức ăn quá ngọt hoặc quá mặn vì chúng làm tăng tiết dịch nhầy (đờm).
Tìm kiếm cách hết ho ngứa cổ hiệu quả là một quá trình đòi hỏi sự kiên trì và lắng nghe cơ thể. Bằng cách kết hợp các bài thuốc dân gian lành tính, thay đổi thói quen sống và sử dụng thuốc hỗ trợ khi cần thiết, bạn hoàn toàn có thể đẩy lùi cơn ho khó chịu chỉ sau vài ngày. Hãy nhớ rằng sức khỏe cổ họng là cửa ngõ của hệ hô hấp, vì vậy hãy chăm sóc nó thật tốt ngay từ khi mới có những dấu hiệu kích ứng nhẹ nhất.




